-
Minimally Invasive Gynecologic Surgery
Minimally invasive gynecologic surgery refers to the use of less invasive techniques, such as hysteroscopy or laparoscopy, to surgically treat gynecological disorders. These techniques may involve a single incision or a few small incisions or no incisions to access the organs of the female reproductive system and perform the required repair using specialized tools for the treatment of a gynecologic condition.
Know More -
Robotic-Assisted Gynecologic Surgery
Robotic-assisted gynecologic surgery is a minimally invasive surgical technique used to treat and repair various gynecologic conditions with the aid of a robotic operating system such as the da Vinci robotic system.
Know More -
Scarless Gynecologic Surgery
Scarless gynecologic surgery is a minimally invasive surgery in which a single incision of about three-fourths of an inch is made in the belly button and a laparoscope and miniature surgical instruments are passed through the incision to access an organ of the female reproductive system and perform the required repair for treatment of a gynecologic condition.
Know More -
In-office Gynecologic Procedures
In-office gynecologic procedures mostly deal with the routine physical care and health of a woman’s reproductive organs such as the uterus (womb), cervix, ovaries, bladder, urethra, fallopian tubes and vagina, during the different stages of life.
Know More -
Hormone Replacement Therapy
Every woman goes through several changes in body functions, marking the different stages in life. With puberty, the menstrual cycle starts, during which certain hormones control the monthly release of the egg in preparation for pregnancy. The termination of menstruation and fertility of a woman is known as menopause and occurs 12 months after the last menstrual period.
Know More -
Assisted Vaginal Birth
Birthing occurs by the coordinated and rhythmic contractions of the uterus to push your baby out of the womb. Sometimes, this process is not possible or becomes difficult, and requires external assistance to deliver your baby vaginally. Assisted vaginal birth is a procedure in which specially designed instruments are used to aid a vaginal delivery.
Know More -
Barrier Methods of Birth Control
Barrier methods of birth control are non-surgical methods to prevent pregnancy. They are called “barrier methods” as each uses a physical barrier to prevent sperm from reaching the egg. This prevents fertilization and the likelihood of a pregnancy. Some barrier methods also provide protection against sexually transmitted diseases (STDs).
Know More -
Biopsy of the Vulva
The vulva region is numbed with local anesthesia. During the procedure, your doctor places a colposcope (magnifying instrument) close to the vulva to inspect it. A sample of skin may be removed from the suspicious area with the help of a scalpel or cutting tool, and sent to the laboratory for analysis. Your doctor may then stitch the skin if a large section of the vulva is removed.
Know More -
Birth Control Implant
A birth control implant is a long-lasting contraceptive device for females. It is a small flexible plastic tube that is inserted beneath the skin in your upper arm. After successful placement, the implant begins to release a fixed dose of birth control medications into your bloodstream which induce hormonal changes in the female body.
Know More -
Cervical Biopsy
A cervical biopsy is performed as a diagnostic test to detect cancerous or precancerous cells on the cervix. A cervical biopsy may also be performed by your doctor to diagnose other conditions such as a non-cancerous growth (polyp) on the cervix or to detect genital warts.
Know More -
Cesarean Section
Cesarean section, also called C-section, is a surgical procedure to give birth to a baby. It is a type of assisted birth procedure. It is a major surgery for pregnant women to deliver a fully developed baby from the mother’s womb via incisions in the abdomen and the uterus.
Know More -
Colposcopy
Colposcopy is a procedure in which a special magnifying instrument called a colposcope is used to look into the vagina and into the cervix. The colposcope gives an enlarged view of the outer portion of the cervix.
Know More Launch Movie -
Cystoscopy
A cystoscopy is an examination of the inside of the bladder and urethra, the tube that carries urine from the bladder to the outside of the body.
Know More -
Dilation & Curettage
Dilation and Curettage (D&C) is a procedure that involves dilation of the cervix and insertion of a curette, a specialized instrument, to remove tissue from the uterus (womb).
Know More -
Endometrial Ablation
Endometrial ablation is a procedure to destroy (ablate) your uterine lining, also referred to as the endometrium. This is the lining that sheds to cause menstrual bleeding. Ablation may reduce or stop the menstrual flow completely. The procedure does not involve any cuts or incision.
Know More -
Excision of Endometriosis
The uterus is lined by a tissue called the endometrium, which thickens in preparation for a prospective pregnancy, and breaks down and bleeds as menstrual fluid in the absence of conception. This tissue can become displaced and grow in other places, such as the ovaries, fallopian tubes, or pelvic region leading to a painful disorder called endometriosis.
Know More -
Excision of Gynecologic Lesions
Gynecologic lesions are abnormal growths located in the female reproductive system, such as the vagina, urethra, ovaries, etc. Excision of the gynecologic lesion is a procedure to remove the lesion.
Know More -
Female Infertility Treatments
Female infertility treatments is the term used to denote the various medical approaches that are employed to treat women who have problems conceiving or difficulty getting pregnant. Female infertility treatments are offered by gynecologists and infertility specialists in dedicated clinics or hospitals.
Know More -
Fetal Monitoring
Fetal monitoring is the procedure used to assess the rate and rhythm of the fetal heart and determine the health of the fetus. It is generally recommended during late pregnancy and labor.
Know More -
Genetic Screening
Our genetic makeup (DNA, chromosomes, genes, and proteins) is what makes each of us unique. Many diseases are caused by changes or mutations in certain genes and chromosomes. Genetic screening tests help determine whether you are at an increased risk of having a baby with a genetic disorder.
Know More -
Gynecologic Laparoscopy
Laparoscopy in gynecology is used to check for any abnormalities in the uterus, ovaries, fallopian tubes, and other organs which are not evident by other diagnostic procedures such as X-rays and other scans. Laparoscopy is used to diagnose and treat the conditions of pelvic pain, infertility, fibroids, cysts, tumors, endometriosis, ectopic (tubal) pregnancies, pelvic inflammatory disease, and other gynecological problems.
Know More -
Human Papillomavirus (HPV) Vaccine
HPV is a sexually transmitted infection that causes genital warts, abnormal cervical cells or cervical cancer. The human papillomavirus (HPV) test is a screening test indicated in women above 30 years of age and for those who show an abnormal Pap test.
Know More -
Hysteroscopy
Hysteroscopy is a minor surgical procedure used for diagnosis and/or treatment of various conditions of the uterus. In this procedure, a thin telescopic instrument called a hysteroscope is inserted into the uterus through the vagina to view the internal structures for diagnosing or treating conditions.
Know More -
Insertion & Removal of Implanon
Implanon is inserted by an experienced physician or healthcare professional under the skin of the non-dominant upper arm.
Know More -
Laparoscopic Ovarian Cystectomy
Laparoscopic ovarian cystectomy is a surgical procedure to remove a cyst or cysts from one or both of the ovaries laparoscopically.
Know More -
Laparoscopic Sacralcolpopexy
Pelvic organ prolapse is the protrusion of the pelvic organs (vagina and uterus) due to weakness in muscles that support these organs. Laparoscopic sacrocolpopexy is a surgical technique performed to correct pelvic organ prolapse.
Know More -
Laparoscopic Sterilization
Laparoscopic sterilization is a technique of tubal ligation to block or close the fallopian tubes, the pathway for sperms to reach eggs for fertilization. Fallopian tubes, located on either side of the uterus, pick up eggs released from the ovaries and transfer them to the uterus.
Know More -
Laparoscopic Surgery
Laparoscopy is a minimally invasive surgical procedure performed using a laparoscope, a thin fiber-optic instrument with a camera and lens attached to it. Laparoscopes can be used for diagnosing and treating various conditions.
Know More -
Laparoscopic Vesico Vaginal Fistula Repair
A vesico vaginal fistula is an abnormal connection between the bladder and vagina, which allows the involuntary flow of urine. The condition is surgically treated with laparoscopic vesico vaginal fistula repair and is performed under general anesthesia. Your surgeon makes 3 to 4 small incisions in the lower abdomen. A laparoscope (tube with a light and a miniature camera) is inserted to locate the fistula.
Know More -
Laparoscopy for Investigating Pelvic Pain
Pelvic pain is one of the common gynecological problems which may be caused by various conditions. Assessing the exact cause of pain is essential to treat the condition. Use of a laparoscope helps in assessing the exact cause of the pain such as the presence of scar tissue, infections, ovarian cysts, gastrointestinal problems, urinary problems, musculoskeletal problems, and other conditions.
Know More -
Laser Surgery
Laser surgery uses laser beams, high-intensity light of a specific wavelength that can be focused into a narrow beam, to treat or correct various conditions and abnormalities. They allow surgeons to work very precisely as the beam of light can be focused onto a specific point, causing less damage to surrounding tissues.
Know More -
Mirena
Mirena is a T-shaped hormonal Intra Uterine Device (IUD) that provides long-term contraception (birth control). It continuously releases a small amount of the hormone progestin in the uterus for about 5 years. Progestin thickens the cervical mucus making it difficult for the sperm to swim towards the egg and also suppresses ovulation (release of an egg from an ovary) preventing pregnancy.
Know More -
Novasure
NovaSure endometrial ablation is a procedure to reduce or stop heavy menstrual bleeding in women by permanently destroying the endometrium, the uterine lining that is responsible for causing heavy bleeding. It is a simple procedure which can be performed in your doctor’s office without the need for anesthesia.
Know More -
Nuvaring
Nuvaring is a type of hormonal birth control device. It is a small, clear and flexible plastic ring that is inserted into the vagina to prevent pregnancy by releasing hormones into your body. The ring stays in place for 3 weeks and then is removed to allow menstruation to occur. After menstruating one week, a new ring is inserted.
Know More -
Office Hysteroscopy
Office hysteroscopy is a minimally invasive procedure that uses a hysteroscope to diagnose and treat abnormalities of the endometrial cavity and the endocervical canal. This procedure is performed in a clinic or office setting and enables direct visualization of the uterus without the need for general anesthesia or an operating room.
Know More -
Pap Test
The Pap test, also known as Pap smear, checks for changes in the cells of your cervix. The cervix is the lower part of the uterus (womb) that opens into the vagina (birth canal). The Pap test can indicate if you have an infection, abnormal (unhealthy) cervical cells, or cervical cancer.
Know More -
Pelvic Lymphadenectomy
Pelvic lymphadenectomy is the surgical removal of lymph nodes in the pelvic region to examine them for the presence of cancer. Like blood vessels, lymph vessels form an elaborate network that plays a vital role in the body’s defense system and forms a major pathway for cancer cells to spread to other parts of the body.
Know More -
Pelvic Reconstructive Surgery
Pelvic reconstructive surgery is performed for the treatment of women's pelvic health issues which include female urinary and reproductive tract disorders. The goal of reconstructive surgery is to restore the organs to their original positions.
Know More -
Plastic Vaginal Surgery
Plastic vaginal surgery may be a cosmetic or reconstructive surgery that helps to correct any structural weaknesses of the vaginal canal. There are different types of vaginal plastic surgeries which may include tightening of the lax or expanded vaginal muscles after delivery or rotating adjacent tissues to reconstruct missing parts of the vagina due to a congenital deformity.
Know More -
Robotic Hysterectomy
Robotic hysterectomy is a surgical procedure to remove the uterus, either partially or completely. It is performed using robotic surgical instruments that are designed specifically to be controlled by a computer which is operated by the surgeon.
Know More -
Robotic Treatment for Male Infertility
Male infertility is a significant cause of infertility in almost half of infertile couples. Over the last several decades, the treatment of infertility has advanced with the emergence of new assisted reproduction techniques like In-Vitro Fertilization (IVF), Intra-Cytoplasmic Sperm Injection (ICSCI), and microsurgery techniques including robotic surgery.
Know More -
Screening for Ovarian Cancer
Screening for ovarian cancer encompasses a set of medical tests performed on females where there is the suspicion or higher-than-normal risk of cancer. Women with a risk near the general population of ovarian cancer are recommended to have an annual pelvic examination instead of screening.
Know More -
Sterilization
Sterilization in women is a permanent form of birth control or contraception to prevent pregnancy. Sterilization works by blocking or sealing the fallopian tubes to prevent the eggs from reaching the sperm and getting fertilized.
Know More -
Tubal Ligation
Tubal ligation is a permanent birth control method that involves the surgical blocking of the fallopian tubes, the region of fertilization.
Know More -
Tubal Reversal/Reconstructive Surgery
Tubal reversal after sterilization is a surgical procedure to restore fertility by restoring the normal functionality of the fallopian tubes that were blocked during sterilization. About 5-10% of women may require a reversal of sterilization, due to various reasons such as having a new partner and desire for additional children.
Know More -
Ureteroscopy with Laser Lithotripsy
Ureteroscopy is a procedure that involves the use of a thin, long tube called a ureteroscope, to examine, diagnose and treat urinary tract problems. The ureteroscope is most commonly used for the diagnosis and treatment of kidney stones but is also indicated for the treatment of various conditions such as frequent urinary tract infections, urinary blockage, hematuria (blood in the urine), unusual cell growth or tumor in the ureters (urine tubes).
Know More -
Urinary Incontinence Surgery in Women
Urinary incontinence surgery in women involves the repair or repositioning of the bladder to prevent the involuntary loss of urine. Urinary incontinence is a condition that occurs when a person is unable to control the flow of urine. This can lead to involuntary loss or leakage of urine when a person sneezes, coughs, or laughs.
Know More -
Uro-gynecology and Vaginal Prolapse Surgery
Uro-gynecology is the sub-specialty of medicine for diagnosing and treating pelvic floor disorders in women such as urinary incontinence and prolapse of pelvic organs such as bladder, uterus, rectum, vagina and small bowel.
Know More -
Uterine Prolapse Surgery
Uterine prolapse, also called a prolapsed uterus, is a female reproductive health disorder. It occurs when the uterus slips downward into the vagina due to the weakness of the pelvic floor muscles and ligaments, which cannot provide proper support. In some women, the uterus may protrude from the vaginal opening.
Know More -
Uterine Septoplasty
Uterine septoplasty or metroplasty is a surgical procedure employed for the correction of a septate uterus or uterine septum using an operative hysteroscope to create a normal uterine cavity.
Know More -
Vaginal Biopsy
A vaginal biopsy is a diagnostic test to assess a lump or sore that has appeared recently. It may also be performed to diagnose the cause for any vaginal swelling, redness, itching, or changes in skin color.
Know More -
Vaginal Hysterectomy
Vaginal hysterectomy is an alternative surgical procedure for abdominal hysterectomy. In this procedure, the uterus is removed through the vagina rather than through the incision in the abdomen.
Know More -
Gynecological Care
Gynecological care is the diagnosis, treatment, and follow-up care provided to women of reproductive age. It covers all aspects of female reproductive health including menstruation, pregnancy, and menopause. A doctor trained in the diagnosis and treatment of female reproductive disorders is called a gynecologist.
Know More -
Laparoscopic Cystectomy
Laparoscopic cystectomy is the removal of the bladder along with the lymph nodes for the treatment of bladder cancer that has spread to nearby tissue. In men, the bladder along with the prostate gland is removed by making a small incision on the abdomen. In women, an incision is made on the wall of the vagina to remove the bladder.
Know More -
Menopause
Every woman goes through several changes in her body functions, which marks different stages in her life. With puberty, starts the menstrual cycle, where certain hormones control the monthly release of the egg and preparation for pregnancy. The termination of menstruation and fertility of women is known as menopause and occurs 12 months after your last menstrual period when you are in your forties or fifties.
Know More -
Nutrition During Pregnancy
The food you consume during pregnancy helps to provide sufficient nutrients for yourself as well as your growing baby. A well-balanced nutritious diet during pregnancy keeps you and your baby healthy and is required for your baby’s overall growth and development.
Know More -
Obstetrical Care
Obstetrical care is the diagnosis, treatment, and follow-up care provided to women of reproductive age who are pregnant or who have recently delivered a baby (known as the post-partum phase). It also includes care and management of obstetric injuries - injuries that occur either during childbirth or soon after delivery.
Know More -
Oral Contraceptives or Birth Control Pills
Oral contraceptives also called birth control pills, are tablets taken by mouth to control pregnancy. They contain a specific dose of the female sex hormones estrogen and progestin, which are clinically proven to be effective in controlling pregnancy by bringing about physiological changes in your body.
Know More -
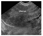
Pelvic Ultrasound
A pelvic ultrasound is a diagnostic tool that uses sound waves to create images of structures and organs in the pelvic region. The organs that the pelvic ultrasound examines include the ovaries, fallopian tubes, uterus and cervix in women, the seminal vesicles and prostate gland in men, and the bladder in both men and women.
Know More -
Pre-Conception Planning
Preconception planning can be defined as getting ready for pregnancy. It helps you and your partner understand how to enhance your chances of a healthy pregnancy and prepare for the best possibility. A preconception appointment with your doctor is very important to ensure you have a healthy pregnancy.
Know More -
Pregnancy - Tests, Counselling and Planning
During a pre-pregnancy health assessment, your doctor reviews your medical history, reproductive history, diet, lifestyle and other habits, and performs a thorough physical examination. Your physician may order certain blood tests (full blood parameters, iron and ferritin levels) and urine tests (for sugar, protein, and infection) to check your health condition.
Know More -
Reducing Risks of Birth Defects
Birth defects are the structural or functional abnormalities that are present at birth. These defects occur while a baby is developing in the mother's body. Some of these are clinically obvious at birth, however, a few get diagnosed much later in life. Examples of birth defects include cleft lip, heart defects, and neural tube defects.
Know More -
Stages of Pregnancy
Pregnancy is a stage in a woman’s life when she begins to develop a new human life in her womb. A typical pregnancy lasts for about 40 weeks, beginning from the first day of your last period.
Know More -
Understanding Women's Health
Women face a range of unique health concerns apart from the numerous ailments that affect both women and men. In some instances, women and men may have different symptoms despite being diagnosed with the same condition and they may need to be treated differently.
Know More -
Well-Woman Visit
A well-woman visit is a special consultation scheduled once a year with a skilled healthcare provider such as a doctor or nurse at a private clinic or a hospital as a part of preventive care. It is designed specifically for women. A well-woman visit includes detailed questions and various diagnostic tests to assess the functioning of different parts of the female body.
Know More -
What is a Prenatal Appointment?
A prenatal appointment is an appointment with your OB/GYN doctor to check on your health and assess the progress of your pregnancy. During the visit, you will be counseled on how to prepare properly for the labor and delivery of your baby. You can also ask questions to clear any doubts related to your pregnancy. Your partner, friend, or family member can accompany you to your prenatal appointments.
Know More



